• Dental Implants
  • Uncategorized
Sree Balaji Dentals
Sree Balaji Dentals
  • Home
  • About Us
    • Dr. Krishna Vardhan Pabbati
    • Dr G. Sai Sravanthi
  • Services
    • Laser Dentistry
    • Dental Implants
      • Dental Implants
      • Single Dental Implants
      • Multiple Dental Implants
      • All- on – 4 Dental Implants
      • All – on – 6 Dental Implants
      • Immediate Dental Implants
      • Implant Supported Dentures
    • Smile Designing
      • Dental Veneers
      • Dental Crowns
      • Crowns and Bridges
      • Aligners
      • Braces
      • Space Closure
    • Teeth Replacement
      • Removable
        • Complete Denture
        • Partial Denture
        • Flexible Denture
      • Fixed
        • Crowns and Bridges
        • Dental Implants
    • General Dentistry
      • Root Canal Treatment
      • Single Visit Root Canal Treatment
      • Wisdom Tooth Removal
      • Conventional Gum Surgery
      • Tooth Coloured Fillings
    • Oral Medicine
      • Premalignant Diseases
      • Temporomandibular joint (TMJ) Disorders
    • Kids Dentistry
  • Doctors
  • Gallery
    • Before & After
    • Happy Smiles
  • Blog
  • Contact us
  • More
    • Zirconia Crowns In Manikonda
    • Dental Crowns in Manikonda
    • Metal Free Crowns in Manikonda
    • Emax Crowns in Manikonda
    • Root Canal Treatment In Manikonda
    • Single Sitting Root Canal Treatment In Manikonda
    • Laser Root Canal Treatment In Manikonda
    • Invisible Braces in Manikonda
    • Laser Flap Surgery In Manikonda
    • Dental Laminates In Manikonda
    • Dental Veneers In Manikonda
    • Dental Implants In Manikonda
    • Wisdom Teeth Extraction In Manikonda
    • Gum Recontouring Treatment In Manikonda
    • Gum Depigmentation Treatment In Manikonda
    • LANAP Laser Gum Treatment In Manikonda
    • Gingivectomy Treatment In Manikonda
    • Gum Recontouring Treatment In Manikonda
    • BPS Dentures In Manikonda
    • Invisible Aligners in Manikonda
Call Us 099855 44633
Get Appointment
Sree Balaji Dentals
  • Home
  • About Us
    • Dr. Krishna Vardhan Pabbati
    • Dr G. Sai Sravanthi
  • Services
    • Laser Dentistry
    • Dental Implants
      • Dental Implants
      • Single Dental Implants
      • Multiple Dental Implants
      • All- on – 4 Dental Implants
      • All – on – 6 Dental Implants
      • Immediate Dental Implants
      • Implant Supported Dentures
    • Smile Designing
      • Dental Veneers
      • Dental Crowns
      • Crowns and Bridges
      • Aligners
      • Braces
      • Space Closure
    • Teeth Replacement
      • Removable
        • Complete Denture
        • Partial Denture
        • Flexible Denture
      • Fixed
        • Crowns and Bridges
        • Dental Implants
    • General Dentistry
      • Root Canal Treatment
      • Single Visit Root Canal Treatment
      • Wisdom Tooth Removal
      • Conventional Gum Surgery
      • Tooth Coloured Fillings
    • Oral Medicine
      • Premalignant Diseases
      • Temporomandibular joint (TMJ) Disorders
    • Kids Dentistry
  • Doctors
  • Gallery
    • Before & After
    • Happy Smiles
  • Blog
  • Contact us
  • More
    • Zirconia Crowns In Manikonda
    • Dental Crowns in Manikonda
    • Metal Free Crowns in Manikonda
    • Emax Crowns in Manikonda
    • Root Canal Treatment In Manikonda
    • Single Sitting Root Canal Treatment In Manikonda
    • Laser Root Canal Treatment In Manikonda
    • Invisible Braces in Manikonda
    • Laser Flap Surgery In Manikonda
    • Dental Laminates In Manikonda
    • Dental Veneers In Manikonda
    • Dental Implants In Manikonda
    • Wisdom Teeth Extraction In Manikonda
    • Gum Recontouring Treatment In Manikonda
    • Gum Depigmentation Treatment In Manikonda
    • LANAP Laser Gum Treatment In Manikonda
    • Gingivectomy Treatment In Manikonda
    • Gum Recontouring Treatment In Manikonda
    • BPS Dentures In Manikonda
    • Invisible Aligners in Manikonda

Oral Medicine

HomeServicesOral Medicine

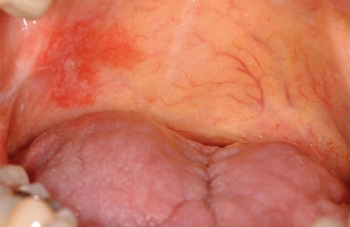
Premalignant Diseases

Premalignant diseases are abnormal tissue changes that have the potential
Read More

Popular Service

  • General Dentistry
  • Laser Dentistry
  • Oral Medicine
  • Smile Designing

Opening Hours

  • Monday
    10.00 AM to 09.00 PM
  • Tuesday
    10.00 AM to 09.00 PM
  • Wednesday
    10.00 AM to 09.00 PM
  • Thursday
    10.00 AM to 09.00 PM
  • Friday
    10.00 AM to 09.00 PM
  • Saturday
    10.00 AM to 09.00 PM
  • Sunday
    Closed

Contact Us

  • #1st Floor, Aai Ji Bhavan, Neknampur Rd, Alkapur Township, Manikonda Hyd - 500089

  • 099855 44633

Quick Links

  • About Us
  • Team
  • Testomonial

Recent Post

  • Will I Need a Crown After a Root Canal?April 17, 2025
  • How Should I Take Care of My Tooth After a Root Canal?April 16, 2025

Our Services

  • General Dentistry
  • Laser Dentistry
  • Oral Medicine
  • Smile Designing
Sree Balaji Dentals
© Sree Balaji Dentals @ 2023 | All Rights Reserved